Dag schatteke,
Je verstopte je 41 weken in mama’s buik,
maar wat was papa trots toen hij je in zijn armen kon nemen.
Enkele foto’s van jouw eerste levensdag:
Knuffel,
Jouw mama
29 woensdag apr 2015
Posted in Geen categorie
Dag schatteke,
Je verstopte je 41 weken in mama’s buik,
maar wat was papa trots toen hij je in zijn armen kon nemen.
Enkele foto’s van jouw eerste levensdag:
Knuffel,
Jouw mama
26 zondag apr 2015
Posted in Geen categorie
Lieve schat,
Je moet het heel leuk hebben gevonden in mama’s buik. Pas toen mama 41 weken zwanger was, vond jij het tijd om de wereld te verkennen.
Op vrijdag 17 april 2015 had mama een afspraak in het Sint-Andriesziekenhuis te Tielt voor een monitoring. Op dat moment zag het ernaar uit dat je nog geen zin had om geboren te worden en het vermoeden werd geuit dat de gynaecoloog de start van de geboorte een duwtje in de rug zou moeten geven.
De laatste monitoring in het ziekenhuis te Tielt was voor mama wel heel even een emotioneel gebeuren. Dokter Devolder kwam namelijk even bij mama langs en uitte een bezorgdheid over de naderende bevalling. De dokter had namelijk schrik voor bloedingen bij mama en deze zouden ervoor kunnen zorgen dat mama na de bevalling met de ambulance naar het ziekenhuis te Gent zou moeten worden gebracht. Dokter Devolder stelde dan ook voor dat mama niet zou bevallen in het ziekenhuis te Tielt, maar wel in het Universitair Ziekenhuis Gent. Eerst was mama een beetje overdonderd door dit nieuws, maar na een telefoontje met papa vonden we het inderdaad beter om geen risico’s te nemen.
Op vrijdagavond 17 april 2015 vertrokken papa en mama nog naar Gent voor een kennismakingsgesprek met de kraamafdeling van het Universitair Ziekenhuis. We werden daar heel goed ontvangen en dit stelde ons gerust. Na een extra monitoring en een korte consultatie met de gynaecologe gingen mama en papa om 21.00 terug naar huis. De afspraak werd gemaakt dat papa en mama zondagavond naar het ziekenhuis zouden terugkeren voor een inleiding. Mama had wel al voorweeën en één centimeter ontsluiting bij het verlaten van het ziekenhuis, maar jouw geboorte leek nog niet direct nabij.
Terug in Tielt gingen mama en papa nog een pitta gaan eten en mama had het gevoel dat de voorweeën toch steeds sterker werden. Omdat papa door zijn werk al wakker was van 4.00 zei mama dat hij het best nog even in bed kon kruipen. Mama zelf ging even een badje nemen om te ontspannen en toen werden de weeën echt sterk, waarna mama om 3.00 naar het ziekenhuis belde en men het advies gaven om terug te keren naar het verloskwartier. Mama heeft papa toen wakker gemaakt. Papa stak de paarden buiten en toen zijn we vlug terug vertrokken naar Gent. Papa had wel een beetje schrik dat je zou geboren worden in de auto (knipoog), want de weeën kwamen toen al om de vier minuten.
Om 4.00 zijn papa en mama aangekomen in het Universitair Ziekenhuis Gent. De vroedvrouw kon al vlug zien dat de bevalling nu toch effectief was begonnen. Na een onderzoek kon worden vastgesteld dat mama al 4 centimeter ontsluiting had. Zo spannend, jouw geboorte kwam nu echt wel dichtbij.
Om 5.30 had mama 7 centimeter ontsluiting en toen kwam de anesthesist langs voor een epidurale verdoving. Eens de pijn helemaal weg was, was het echt uitkijken naar jouw komst! Nu kon de tijd niet vlug genoeg gaan…
Om 9.30 – 9.45 mocht mama beginnen persen en na ongeveer een half uurtje persen ben je geboren! Je was daar plots heel vlug, want de gynaecoloog had je nog niet direct verwacht en was nog even een keizersnede gaan doen. Je bent dan ook geboren in het bijzijn van een assistente. Voor de assistente was jouw geboorte ook een bijzondere ervaring, want het was haar eerste bevalling zonder begeleiding.
Even was er wel paniek, want je had kaka gedaan in mama’s buik. Daardoor moest je kort geaspireerd worden. Papa vond dit echt niet fijn en hoewel hij echt een sterke papa was geweest tijdens de bevalling, viel papa bijna flauw. Bijna… net niet helemaal (knipoog).
Mama heeft de bevalling echt niet als akelig ervaren (hoewel ik hier wel bang voor was op voorhand). Integendeel, een uurtje na de bevalling stond mama al alleen te douchen.
En toen… wat een zalig gevoel… Jij voor het eerste keer op mijn buik! Ik was op slag verliefd op je! En papa’s blik sprak boekdelen. Jouw papa is niet de man van de duizend woorden, maar in zijn ogen las ik de liefde die hij voelde voor jou en voor mij. Ons gezinnetje voelde compleet en dit gevoel was allesomvattend!
Welkom meisje! Wat zien we je graag! Wat ben je welkom! Wat zijn we blij dat je er eindelijk bent!
Knuffel,
jouw mama
Enkele foto’s van jouw eerste levensdag:
14 dinsdag apr 2015
Posted in Geen categorie
Lieve schat,
Mama is vandaag (14 april 2015) 40 weken en 3 dagen zwanger.
Sinds gisteren mag ik elke dag aan de monitor, zodat van nabij kan opgevolgd worden hoe het met jou gaat! Ik wou vandaag toch nog even voor een bewijs zorgen van het feit dat je zoveel beweegt in mama’s buik. Op de uitprint van de monitor zie je drie lijntjes:
– links: jouw hartslag,
– in het midden: jouw bewegingen (een blokje betekent aaneensluitende bewegingen),
– rechts: weeënactiviteit.
De uitprint van vandaag heeft dus terug aan dat je echt aan het dansen bent in mama’s buik! Je bent zelfs soms zo actief dat mama denkt dat ze harde buiken heeft terwijl jij eigenlijk gewoon aan het bewegen bent.
Zal je later ook zo’n energieke meid zijn?
Papa en ik zijn alvast nieuwsgierig!
We houden van je!
Kus,
jouw mams
12 zondag apr 2015
Posted in Geen categorie
Dag lieve schat,
We hebben 9 maanden gedacht dat je op of voor 11 april 2015 zou geboren worden, maar jammer genoeg mogen we je na 40 weken zwangerschap nog steeds niet knuffelen. Het wordt nu wel heel spannend… Ik was heel graag zwanger, maar nu begin ik toch vooral uit te kijken naar jouw geboorte! Het wachten heeft toch wel lang genoeg geduurd nu.
Op de uitgerekende dag van jouw geboorte hebben mama en papa ervoor gezorgd dat het huisje en jouw thuis proper was. Zo heeft papa de benedenverdieping stofvrij gemaakt en heeft mama de bovenverdieping gepoetst. Je kan je voorstellen dat het stofzuigen onder bed wel voor na jouw geboorte is. Met de dikke buik was het voor mams net te moeilijk om daar het stof te verwijderen (knipoog). Maar de nesteldrang was toch wel aanwezig. Een teken dat je ’s avonds of ’s nachts zou geboren worden?
’s Avonds waren papa en mama uitgenodigd op het feestje voor de 18e verjaardag van Lynn (stal Spirit). Aanvankelijk hadden we gezegd dat we niet zouden gaan, maar gezien je nog lekker in mama’s buik wou blijven zijn we toch even langs gegaan. En mama heeft gedanst… vooral in de hoop dat de vliezen zouden breken en de bevalling zou beginnen. Maar zelfs met de aanmoediging van Sven, Pieter, … gebeurde er niets. Integendeel, je voelde je precies wel goed in de buik van jouw dansende mama, want je hield je heel stilletjes. Wel een leuke anekdote vond ik om hier even neer te schrijven, want hoeveel mama’s gaan nog dansen als ze 40 weken zwanger zijn? Ik moet wel toegeven dat ik blij was dat ik na het dansen toch even kon slapen en niet direct richting naar de kraamafdeling moest gaan (knipoog).
Lieve schat,
zal je er volgend weekend wel al zijn?
Please!!!!!!!!
Kusjes,
jouw mams
10 vrijdag apr 2015
Posted in Geen categorie
Dag meisje,
De vroedvrouwen zeggen steeds dat je het plezant vindt in mama’s buik, maar de wereld wordt ook steeds nieuwsgieriger om jou te leren kennen hoor.
Even dacht ik vannacht dat ik je vandaag zou kunnen knuffelen, maar na een nachtje ziekenhuis is mama terug thuis met jou nog steeds in de buik. Vals alarm…
Mama heeft voorweeën en hoewel jij veel beweegt heeft mama nog steeds geen opening. Nog even geduld dus!
Lieve schat, wees maar zeker hoor… mama zal je ook na de geboorte blijven koesteren en vertroetelen! En dan zijn we zelfs met twee om jou te verwennen, want jouw papa kijkt nu ook wel echt uit naar jouw komst!
We love you!
Mams en paps
07 dinsdag apr 2015
Posted in Geen categorie
31 dinsdag mrt 2015
Posted in Geen categorie
Dag meisje van ons,
Op een bepaald moment in de zwangerschap zei dat de gynaecologe (dokter Servaes) dat ze hoopte dat je pas in week 37 van de zwangerschap zou geboren worden. Eigenlijk werd doorheen gans de zwangerschap wat gedacht dat je vroeger zou geboren worden als de verwachtte 40 weken.
Ondertussen is mama – op 30 maart 2015 – 38 weken en 2 dagen zwanger en heb je precies nog helemaal geen zin om geboren te worden. Je zit met jouw hoofdje in mama’s bekken vast, maar mama heeft nog helemaal geen opening.
Het nieuwe gevoel van de gynaecologe (dokter Lampaert) is dat je zal wachten tot de 2e week van de paasvakantie vooraleer je uit de startblokken zal springen. De kans zit er dus in dat mama langer als 40 weken zal zwanger zijn.
De voorbije week kon mama wel bijna niet meer slapen door een misselijk gevoel bij het neerliggen. Gelukkig kon dokter Lampaert me gisteren wel een middeltje aanraden tegen de zuuroprispingen en het braken, waardoor het slapen terug wat beter zou moeten lukken. Ook de homeopaat gaf mama het advies om een middeltje op basis van gember in te nemen. De laatste loodjes wegens iets zwaarder door… Hoewel mama blijft genieten van de zwangerschap, wordt toch meer en meer uitgekeken naar jouw geboorte.
Jouw huidige gewicht werd bij deze controle geschat op 3700 gram, hoewel de gynaecologe wel aangaf dat het moeilijk is om nu nog een exact correcte meting te doen. Je zal dus normaal wel sowieso een flinke meid zijn.
Knuffel,
jouw mama
28 zaterdag mrt 2015
Posted in Geen categorie
27 vrijdag mrt 2015
Posted in Geen categorie
27 vrijdag mrt 2015
Posted in Geen categorie
Dag schatteke,
Waar het hart van vol is loopt de mond van over…
Mama kan dan ook op facebook niet zwijgen over jouw naderende komst.
Enkele statussen die ik de voorbije 2 weken heb gepost:
14 maart 2015 (36 weken zwanger):
Park deel 2 en sittertje deel 1: anti-poezenactie
Normaal nog exact 4 weken te gaan… Spannend!
16 maart 2015 (36 weken en 2 dagen zwanger):
Gisteren genoten van een gezellige namiddag in Genk!! (Bedankt Sarah, Evi en Tessa en de mannen.) Vanaf nu blijven we wel rond de kerktoren hangen tot ons meisje is geboren (knipoog)! Het aftellen tot aan de bevalling is begonnen… spannend!
17 maart 2015 (36 weken en 3 dagen zwanger):
straks de eerste geboortecadeautjes gaan ophalen…
bedankt zus en schoonbroertje!
19 maart 2015 (36 weken en 5 dagen zwanger):
Onze kleine meid is deze week beginnen indalen en gisterenavond en vannacht had ik vrij veel last van harde buiken (voorweeën?). Nog even geduld schatteke… Nog even groeien in mama’s buik… Normaal nog 3,5 weken of 24 dagen te gaan….
20 maart 2015 (36 weken en 6 dagen zwanger):
Joepie, onze meubelen worden morgen ‘eindelijk’ geleverd! Dan kan de nesteldrang echt van start gaan…
23 maart 2015 (37 weken en 2 dagen zwanger):
Vandaag terug monitoring gehad en consultatie bij de gynaecoloog.
Bloeddruk terug wat te hoog. De rest van de week dan ook opnieuw wat meer rust nemen. Het weekend was inderdaad wat te druk om goed te zijn…
Ons meisje zit al mooi klaar in mijn bekken, maar creëerde nog geen opening.
De gynaecoloog verwacht deze week nog geen directe bevalling, hoewel de natuur vanaf nu natuurlijk niet meer te voorspellen is…
26 maart 2015 (37 weken en 5 dagen zwanger):
Mijn lieve echtgenoot stelt voor om te wachten met bevallen tot het zonnetje daar is! Mmm, ik vrees dat dit toch niet zo simpel zal zijn als de weeën beginnen en het zonnetje zich verstopt. Vooral gezien ze volgende week ook nog slecht weer voorspellen…
&
Liefde is… Zelf suikerproducten vermijden, maar toch een petit-beurre-taart maken voor mijn lieve echtgenoot… kwestie dat hij een beetje reserve opbouwt, want ik vrees dat de papa niet veel zal eten als de mama in het ziekenhuis ligt en dus niet kan koken.
Een nieuwe vorm van nesteldrang?
&
Bijna 38 weken zwanger:
27 maart 2015 (37 weken en 6 dagen zwanger):
Even een nachtelijke gedachte…
Ik kijk er zo naar uit om mijn dochter aan de wereld voor te stellen (zeker aan de mensen die me dierbaar zijn). Zou het echter tegelijk niet mogelijk zijn om haar bestaan voor een stukje wereld verborgen te houden? Ik mag er toch nog niet aan denken dat ik ons meisje ga moeten ‘delen’ met iedereen. Maar wat doe je met mensen die jou niet appreciëren noch waarderen, maar toch het kleintje willen leren kennen?
Waar een mensje toch ’s nachts… mee bezig is hé…
Eén ding is echter zeker: in mijn buik kan ze geen maanden meer blijven… stom plaatsgebrek (knipoog).
Lieve, lieve schat,
mama kan echt aan niets anders meer denken als aan jou!
Als je er klaar voor bent om de wereld te ontdekken…
Knuffel,
jouw mama
12 donderdag mrt 2015
Posted in Geen categorie
Dag dochtertje van ons,
Op 9 maart 2015 mochten papa en mama terug naar de gynaecologe.
Eerst ging mama langs in het ziekenhuis voor een monitoring. Mama’s bloeddruk werd goed bevonden en ook jouw hartje klopt eveneens goed. Bovendien blijf je heel veel bewegen en dit wijst er terug op dat je jezelf goed voelt in mama’s buik.
’s Avonds ook alleen maar positieve woorden van dokter Lampaert. Ze vertelt dat ze kan zien aan de hand van de echo dat mama haar suiker onder controle weet te houden. Bovendien ziet de placenta er heel gezond uit. Joepie!
De gynaecoloog schat jouw huidige gewicht op 2836 gram. Je bent nog steeds een grote meid, maar jouw groei is toch niet meer zo spectaculair als een paar weken terug. Ook hier een grote oef, want de dokters hopen dat je bij de geboorte maximum 4 kilo weegt.
Knuffel,
jouw mama
12 donderdag mrt 2015
Posted in Geen categorie
Dag schatteke,
Omdat papa en mama zo genieten van de zwangerschap…
Omdat papa en mama zo uitkijken naar jouw komst…
Omdat je nu al een deel van ons gezinnetje bent…
We hopen dat je deze herinneringen leuk vindt!
Knuffel,
Jouw mams en paps
09 maandag mrt 2015
Posted in Geen categorie
Dag lieve meid,
Papa heeft dit weekend voor de eerste keer jouw neefje vast gehouden.
Mama werd al helemaal verliefd toen ze papa en Finnian zag…
… Ik ben er zeker van dat jouw papa zo blij zal zijn als jij geboren wordt!
Ik denk dat papa al serieus de dagen aan het aftellen is tot hij jou in de armen kan nemen om een dikke knuffel te geven!
Knuffel,
jouw mama
09 maandag mrt 2015
Posted in Geen categorie
Dag schatteke,
Papa en mama hebben momenteel 6 poezen en die komen allemaal binnen in huis. We willen echter vermijden dat de poezen in jouw park kruipen. We hebben nu gehoord dat we dit kunnen vermijden door ballonnen in jouw park te leggen. Zo gehoord, zo geprobeerd… In de hoop dat jij binnenkort rustig in jouw park kan slapen, hebben we bij 34 weken zwangerschap het park klaar gezet en dit vol met witte ballonnen. Voorlopig lijkt het plan ‘park’ ook te slagen… Enkel Jantje sprong al één keer in het park. Tot nu toe zijn er nog geen ballonnen ontploft (hihi). Laat ons hopen dat dit zo blijft! In elk geval… Als het nodig zou zijn, dan zullen de poezen deze zomer even niet meer in huis mogen, zodat jij rustig kan slapen.
Knuffel,
jouw mama
09 maandag mrt 2015
Posted in Geen categorie
Lieve schat,
Ik wil je graag even vertellen hoe mama de zwangerschap ervaart bij 35 weken…
Wat zijn de minder leuke zaken?
– slapeloze nachten (vooral ten gevolge van rusteloze benen),
– verplicht diëten en vijf keer per dag mijn suiker controleren aan de hand van een vingerprikje,
– bloeddruk controleren,
– het rustiger aan leren doen,
– slapende en zelfs pijnlijke vingers door het ophouden van vocht,
– dikke voeten ook door ophouden van vocht en daardoor niet meer in mijn schoenen passen,
– steeds vaker misselijk worden bij het eten (zo erg dat ik frequent moet braken),
– bewegen gebeurt met de elegantie van een olifant,
– elk toilet in de buurt noodgedwongen leren kennen,
– een steeds duidelijker voelbaar bekken (instabiliteit en dit vooral bij stappen en rechtstaan),
– ….
MAAR…
– Ik ben ook zo ontzettend trots op mijn zwangere buik.
– Ik geniet van elke beweging die ik voel.
– Ik weet zeker dat ik het zwanger-zijn nog serieus ga missen.
DUS:
Elk klachtje is verwaarloosbaar in vergelijking met het intens gevoel van geluk!
Ik ben nu al zo ontzettend verliefd op je!
Knuffel,
Jouw mama
25 woensdag feb 2015
Posted in Geen categorie
Lieve schat,
Het is heel erg moeilijk om met enkele woorden te omschrijven hoe mama de zwangerschap ervaart, maar toch enkele dingen op een rijtje…
1. In tegenstelling tot tante Stephanie is mama in het begin van de zwangerschap niet echt ziek geweest. Ik voelde me wel een paar weken misselijk, maar niet in erge mate. Meer nog, ik miste zelfs het misselijk zijn een beetje toen dit gevoel verdween, omdat de misselijkheid bevestigde dat alles goed met jou ging.
2. Mama’s buikje groeide niet vlug, maar toch wou ik van bij het begin van de zwangerschap aan de wereld laten zien dat jij eraan komt. Ik kocht dan ook een zwangerschapsbelletje om aan de hals te hangen, zodat de mensen reeds vlug konden zien dat ik zwanger was. Op de foto’s bij dit stukje tekst is mama trouwens 33.5 weken zwanger.
3. Nu ik bijna 34 weken zwanger ben, merk ik dat alles een beetje trager gaat. Ik ben en blijf echter trots op het feit dat ik jou zo dichtbij mij mag dragen. Ik geniet van elke beweging die je maakt en van elke keer dat je schopt.
4. Je houdt op het eerste zicht niet van wintergroentjes. Als mama de laatste weken bijvoorbeeld spruitjes of hutsepot eet, dan ga je zo aan het stampen dat mama moet braken tijdens het eten.
5. Als mama zelf beweegt, blijf jij stilletjes. Vooral als mama zich in de zetel nestelt laat je jezelf voelen.
6. De meeste mama’s voelen zich vlugger moe als ze zwanger zijn. Mama heeft echter meer energie als voor de zwangerschap.
7. Mama’s voeten en handen zwellen op door het ophouden van vocht, maar mama ziet dit gewoon als een excuus om overal naartoe te gaan met haar pantoffels aan.
8. Mama is iets vlugger prikkelbaar als anders, maar papa houdt zich goed en toont veel begrip voor mama.
9. Mama is enorm nieuwsgierig hoe het leven eruit zal zien na jouw geboorte.
10. En op de laatste maar de belangrijkste plaats:
MAMA STRAALT EN IS NU AL SUPER-TROTS OP JOU!
Knuffel!
25 woensdag feb 2015
Posted in Geen categorie
Ons lief meisje,
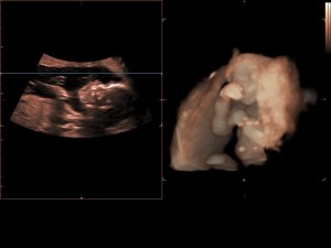
Mama en papa geven elkaar geen cadeautjes op Valentijn, maar dit jaar kozen we ervoor om deze feestdag toch een vrolijk kleurtje te geven door een extra bezoekje aan Cfor9. Je gelooft het echter misschien niet, maar jouw hoofdje was terug zo gedraaid dat we jou niet konden zien. Je staat precies even graag op de foto als jouw papa… niet dus (knipoog)!
Op 21 februari 2015 hadden we dan ook een nieuwe afspraak bij Sylvie. In plaats van jou nog eens te zien bij 32 weken zwangerschap konden we je nog even bewonderen bij 33 weken zwangerschap. Amai, wat ben je veranderd in vergelijking met de vorige keer. We zien echt dat je goed groeit. Vooral jouw bolle kaakjes vinden we zo schattig. Op het eerste zicht heb je trouwens de neus van de mama en de lipjes van de papa. Wat kijken we ernaar uit om jou te kunnen knuffelen!
Dit waren jammer genoeg wel de laatste 3D-beelden die we zullen kunnen zien van jou tijdens de zwangerschap. In het ziekenhuis maken ze enkel een 2D-echo en omdat je meer en meer met jouw hoofdje in mama’s bekken daalt zal Sylvie geen foto’s meer van jou kunnen maken.
We tellen nu echt wel af tot jouw geboorte…
Knuffel,
mama
24 dinsdag feb 2015
Posted in Geen categorie
Dag liefje,
Mama’s bloeddruk staat de laatste tijd iets hoger, maar dit heeft één heel groot voordeel… Papa en mama mogen namelijk iets meer op controle bij de gynaecoloog als normaal, waardoor we je eens meer zien op echo en vooral horen hoe flink je groeit.
– Op 29 weken (27/01/2015) woog je ongeveer 1627 gram.
– Op 31 weken (12/02/2015) woog je ongeveer 2296 gram.
– Op 33 weken (23/02/2015) woog je volgens de metingen ongeveer 2508 gram.
Qua gewicht bevindt je je boven de curve, maar dit vinden mama en papa beter als te weinig groeien. Dus groei maar lekker verder meisje… Papa en mama vragen zich ondertussen af of je bij jouw geboorte meer of minder zal wegen als jouw neefje. (Neefje Finnian woog bij de geboorte 4 kilo.) Mama probeert wel verder wat te diëten, zodat je niet te zwaar wordt en later geen problemen hebt met jouw suiker of met overgewicht. Zo is mama tot nu toe nog maar 4.5 kilo bijgekomen sinds het begin van de zwangerschap. Dit vinden de dokters ook belangrijk.
Mama mag nu bij elke controle aan de monitor. Op 23/02/2015 was je zo hard aan het bewegen dat zelfs de vroedvrouw het uniek vond. Bij elke beweging registreert de monitor een streepje. Jij bewoog echter zoveel dat er blokjes werden geregistreerd in plaats van streepjes. Je moet normaal minimum 10 keren per dag bewegen, maar de monitor registreerde op een half uurtje tijd ongeveer 100 bewegingen. Volgens de vroedvrouw is dit een teken dat je jezelf goed voelt in mama’s buik.
Mama geniet trouwens van elke beweging die ze voelt en papa probeert je ook vaak eens te voelen, maar meestal houd je jezelf stil als papa zijn hand op mama’s buik legt. Precies alsof je papa al een beetje aan het plagen bent!
Ondertussen lig je met jouw hoofdje naar beneden en met jouw poepje naar boven… de ideale houding om geboren te worden.
Papa en mama zijn alles zo goed mogelijk aan het voorbereiden op jouw komst. Zo liggen jouw kleertjes al klaar; staat de doopsuiker klaar en is jouw geboortekaartje al gekozen (enz.). Groei echter nog maar een paar weekjes in mama’s buik, zodat jouw organen zich nog wat verder kunnen ontwikkelen.
We houden van jou!
Kus,
jouw mama
24 dinsdag feb 2015
Posted in Geen categorie
Dag lieve schat,
één ding is zeker: je bent enorm welkom!!!
Kusjes,
jouw papa en mama
12 donderdag feb 2015
Posted in Geen categorie
Dag lief meisje,
Jouw neefje is geboren! Tante Stephanie en nonkel Jonathan zijn zo gelukkig met de geboorte van hun zoontje. Hij is geboren op 10 februari 2015 om 13.00 en woog bij de geboorte 4 kilogram en was 50 centimeter groot.
Mama vond het echt heel fijn om samen met tante Stephanie zwanger te zijn en ik denk dat het voor jou ook heel leuk zal zijn om een neefje te hebben die ongeveer even oud is!
Mama kijkt er in elk geval naar uit om Finnian ook te vertroetelen, maar dat moet nog even uitgesteld worden doordat mama momenteel wat ziekjes is (stomme griepsymptomen).
Door de geboorte van Finnian is mama nu wel nog nieuwsgieriger geworden hoe jij eruit zal zien! Als nog nieuwsgieriger worden eigenlijk wel kan…
We kijken uit naar jouw geboorte lieve schat!
Knuffel,
Jouw mama
12 maandag jan 2015
Posted in Geen categorie
Onze kleine kapoen,
op zaterdag 10 januari 2015 gingen papa en mama opnieuw langs bij Cfor9 voor een pretecho. Onze nieuwsgierigheid om jou te zien blijft groeien.
Je blijft je verstoppen, waardoor het voor Sylvie moeilijk is om mooie beelden te maken. Gelukkig draai je je af en toe een beetje, waardoor we zaterdag opnieuw een glimp van jou konden opvangen!
Je ziet er zo’n lieve meid uit. Jouw hoofdje nestel je graag tegen de placenta. Net alsof je je op jouw gemakje in de zetel knuffelt.
We zien je graag!
Normaal nog dertien weken vooraleer we je in onze armen kunnen sluiten!
Knuffel,
jouw mama
26 vrijdag dec 2014
Posted in Geen categorie
Lieve schat,
Sinds gisteren heb je twee schatten van meters!
Jouw oma Linda en jouw tante Stephanie hebben enthousiast ‘ja’ gezegd toen papa en ik hen op kerstdag hebben gevraagd of zij jou een beetje extra willen verwennen door jouw meter te zijn.
Ik hoop dat je blij bent met onze keuze!
Knuffel,
jouw mama
26 vrijdag dec 2014
Posted in Geen categorie
Dag liefje,
Op 18 december 2014 hadden mama en papa terug een afspraak bij dokter Lampaert.
Ondertussen ben jij 23 weken en 5 dagen… Je weegt ondertussen 750 gram en doet het goed! Mama en papa genieten met hoofdletter en voelen zich gezegend.
Ondertussen vertelt mama’s buik ook meer en meer dat jij eraan komt!
Je hebt deze echo terug wel geen zin om jou te laten zien. Wanneer de gynaecologe een foto neemt, draai jij je vlug zodat je met jouw rug naar ons komt te liggen. Onze gekke, lieve meid!
We houden van jou!
Knuffel,
jouw mama
08 maandag dec 2014
Posted in Geen categorie
Dag liefje,
Er werd mama verteld dat jouw eerste bewegingen zouden aanvoelen als plopjes. Ik had op 7 december 2014 (zwanger: 22 weken) al een paar dagen het gevoel dat ik jouw bewegingen kon opmerken en plots was ik er echt zeker van. Zo zeker dat ik papa even liet meevoelen en wat bleek… schop, je liet hem meegenieten door tegen zijn hand te schoppen! Zo prachtig… Op die manier ben je terug een beetje dichterbij ons!
Knuffels,
jouw mama
07 zondag dec 2014
Posted in Geen categorie
Lieve schat,
Terwijl alle kindjes bezoek krijgen van Sinterklaas, gaan papa en ik op bezoek bij Cfor9. Oma gaat mee, want ze is zo nieuwsgierig om haar kleindochter eens te zien.
Eerst verstop je je een beetje achter mama’s placenta, waardoor Sylvie geen mooie 3D-beelden kan maken, maar plots draai je je naar de andere kant. O, wat is het leuk om jou te zien en wat ben je al een knappe meid geworden! Volgens Sylvie lijk je op jouw papa en dit vindt papa natuurlijk leuk om te horen.
We genieten er echt van om jou te kunnen bewonderen!
Weet je wat meid… papa en ik zijn nu al trots op je!
We houden van jou,
jouw mama
07 zondag dec 2014
Posted in Geen categorie
Dag meisje,
Op 25 november 2014 mochten papa en ik jou opnieuw bewonderen!
Omdat mama de laatste jaren wat sukkelt met haar gezondheid, had dokter Lampaert voorgesteld om een extra echo in te plannen in het AZ Sint-Lucas te Brugge. Jiepie, jou een extra keer kunnen bewonderen is altijd genieten!
Zo gepland zo gedaan… Papa en ik gingen naar het ziekenhuis in Brugge waar dokter Logghe een uitgebreide echo nam. Jouw hartje, jouw hersentjes, jouw niertjes,… alles werd bekeken en we waren zo blij met het resultaat! Van de gynaecologe krijg je een dikke 10 op 10!!! Je bent een grote meid voor jouw 20 weken: ongeveer 24 centimeter ondertussen en 460 gram, maar jouw mama en papa zijn ook geen kleine mensjes hé.
Op donderdagmiddag 27 november 2014 belde dokter Lampaert wel met de vraag of mama een suikertest wou doen. Je bent zo vlug aan het groeien dat de dokter denkt dat mama mogelijks zwangerschapsdiabetes heeft. Bijgevolg is mama naar het ziekenhuis gegaan voor een test. Het resultaat was niet goed, waardoor mama een extra test moest laten doen. Het resultaat van de tweede test was niet dramatisch, maar toch ook niet echt goed. Na een aanvullend gesprek met de diabetesverpleegkundige en de diëtist werd dan ook beslist dat mama op dieet gaat en haar suikerwaarden zelf gaat opvolgen (aan de hand van vingerprikjes). Mama vindt dit niet leuk, maar voor jou alles lieve meid!!! Het belangrijkste is dat het goed gaat met jou en dan laten we met plezier dat stukje chocolade of stukje taart achterwege.
Dikke knuffel,
jouw mama
17 maandag nov 2014
Posted in Geen categorie
17 maandag nov 2014
Posted in Geen categorie
Dag liefje,
Op 10 november 2014 hadden mama en papa terug een afspraak bij dokter Lampaert.
Je bent ondertussen terug flink gegroeid. De gynaecologe vertelde dat je van het topje van jouw hoofdje tot het uiteinde van jouw poepje ondertussen 13.9 cm meet. Met de beentjes erbij ben je nu ongeveer 20 cm groot.
Je was trouwens zo schattig tijdens de echo. Je ligt precies met jouw armpjes te zwaaien naar mama en papa.
Elke dag kijken we meer en meer uit naar jouw komst!
Ondertussen kregen we van oma en vrienden al heel veel babyspulletjes. Jouw papa heeft vandaag ook de deur aan jouw slaapkamer gehangen, zodat de poezen zich niet kunnen nestelen in jouw spulletjes.
Dikke knuffel liefje,
jouw mama
07 vrijdag nov 2014
Posted in Geen categorie
Dag lieve schat,
Mama en papa waren zo nieuwsgierig om te weten of je een meisje of jongetje bent… veel te nieuwsgierig om te wachten tot de volgende gynaecologische echo op 18 weken zwangerschap.
Mama maakte dan ook bij Cfor9 een afspraak voor zaterdag 18 oktober 2014 voor een geslachtsbepaling. zo spannend!!!
We hadden een afspraak om 14.30, maar jij had veel liever zin om verstoppertje te spelen voor mama en papa. Lekker de navelstreng tussen de beentjes houden, zodat niemand iets kon zien. Sylvie (van Cfor9) stelde ons voor om even andere mensen voor te nemen en dan nog eens te kijken. Ze stelde voor aan mama om even naar het toilet te gaan en wat te springen, zodat jij je anders zou gaan nestelen. En wat deed mama: springen met jou in de buik (glimlach)!
Een uurtje later… Jij kleine kapoen! Nog steeds de navelstreng tussen de beentjes! Wat nu? Zucht… mama is zo nieuwsgierig! Sylvie is gelukkig ook nieuwsgierig en wil binnen een tweetal uurtjes nog eens een echo inplannen. Ze stelt voor aan mama en papa om in Kuurne Shoppingcentrum een cola te gaan drinken, zodat je zeker wakker wordt en actief gaat dansen in de buik.
Even later… Je bent wakker! En je hebt zo’n leuke hik (die papa typeert als een rare tik)! Maar… Je houdt de navelstreng nog stevig tussen de beentjes en je weigert ook om een koprol te maken waardoor de navelstreng zich zou kunnen verplaatsen. Veilig met het poepje naar beneden, zodat het geslacht jouw geheimpje blijft. Jij preutse meid… Of jij preutse jongen… Sylvie zegt dat je 90 percent zeker een meisje bent, gezien ze echt geen piemeltje heeft gezien gedurende de ondertussen meer als 1.5 uur durende echo. Om zeker te zijn mogen mama en papa volgende week echter nog eens terug komen.
Een weekje later en een half uurtje geduld… Jiepie! 100 percent zekerheid! Jij bent ons meisje, onze dochter, onze poppemie, ons prinsesje! Papa denkt al aan een amazone en mama droomt van een salsera, maar wees gerust… jij mag later kiezen wat je zelf graag leren wil!
En ondertussen koesteren we een glimlach, want zo klein weet je ons al te verrassen. En eigenlijk meid zijn we blij dat je ons even in nieuwsgierigheid liet, want zo konden we lekker lang van jou op beeldscherm genieten.
We houden van jou!
Knuffels,
jouw mama
13 maandag okt 2014
Posted in Geen categorie
Dag lieve schat,
Op 30 september 2014 hadden papa en mama opnieuw een afspraak bij dokter Lampaert, de gynaecologe. Wat is het toch fijn om jou echt te kunnen zien… Ondertussen ben je al bijna 6.5 cm groot. Mama kon je deze keer niet zo goed zien bij de echo, maar papa genoot dan maar voor twee (echt waar). Je was deze keer trouwens heel beweeglijk… een echte salsera of salsero of toch een dressuurruitertje?
Een volgende echo werd geplaatst op 10 november 2014 (zucht, zes weken wachten). Mama en papa kunnen echter niet zo lang wachten om je nog eens te zien, dus werd een pretecho gepland voor zaterdag 18 oktober 2014. We hopen dan te weten of je ons zoontje of ons dochtertje wordt… zo spannend!
Love you sweetie,
jouw mams
19 vrijdag sep 2014
Posted in Geen categorie
Dag schatteke,
mama en papa lieten na de tweede echo aan vrienden en collega’s weten dat we uitkijken naar jouw komst! Natuurlijk heeft mama familie en goede vrienden al veel vroeger over je verteld. Waar het hart van vol is…
Wil je graag weten hoe we jou aan de wereld voorstelden?
Dit was het berichtje dat werd geplaatst op facebook:
Mijn papa denkt een jongen.
Mijn mama verwacht een meisje.
Aan hun wensen zal ik mij niet storen.
Zoals ik groei word ik begin april 2015 geboren.
Het leuke tekstje dat we uitkozen is trouwens het tekstje dat werd gedrukt op het geboortekaartje van jouw mama. Oma Linda had het direct herkend!
De mensen reageerden trouwens allemaal heel enthousiast toen ze hoorden dat jij zal geboren worden!
Kusjes,
jouw mama die nu al zielsveel van je houdt!
19 vrijdag sep 2014
Posted in Geen categorie
Dag liefje,
Op donderdag 18 september 2014 mochten mama en papa naar het ziekenhuis voor een tweede echo! Wat een fijn gevoel… Zelfs jouw stoere papa was even stil toen hij zag hoe goed je het doet. Je bent geen kikkervisje meer, maar een echt groeiend mensje!
Op 10 weken en 5 dagen ben je 4 cm groot. Volgens de gynaecologe is dit groot voor jouw leeftijd! Jouw hartje klopt goed en jouw armpjes en beentjes beginnen te groeien.
We kijken er zo naar uit om je binnen twee weken terug te kunnen bewonderen!
Dikke knuffel,
jouw mama
22 vrijdag aug 2014
Posted in Geen categorie
Dag schatteke,
Omdat mama op 2 augustus 2014 in het ziekenhuis werd opgenomen met een longontsteking (en daar ook een vijftal dagen diende te blijven), stelde de gynaecologe voor om iets vroeger als normaal een echo in te plannen. Zo mocht ik al op dinsdag 19 augustus 2014 naar het ziekenhuis. De gynaecologe had me wel verteld dat ik jouw hartje nog niet zou horen, dus papa nam geen vrijaf op het werk. Hij zou dan de volgende keer meegaan.
De gynaecologe vertelde me dat je al 6 weken 3 dagen oud was. Ze toonde me op de echo dat je momenteel 6.4 mm groot bent. Groei maar rustig verder, kleine schat! Ten slotte schatte ze jouw geboortedatum: 11 april 2015!
De grootste verrassing was echter toen dokter Servaes me vroeg om even te luisteren. Liefste schatteke, nog zo klein en toch… Ik kon jouw hartje al horen!
De gynaecologe zei me dat je er graag wil zijn! Jiepie! Ook wij zijn blij dat je er bent! Hopelijk gaat alles verder goed, zodat je volgend jaar de grote wereld mag ontdekken!
Mama en papa houden van je… ja, zelfs nu al!
Knuf
10 zondag aug 2014
Lieve schat,
inderdaad… jouw mama is een heel nieuwsgierig iemand! Normaal kon ik maar op donderdag 31 juli 2014 testen of ik zwanger was of niet.
In het weekend van 26 en 27 juli 2014 kon ik het echter al niet meer laten om een zwangerschapstestje uit de kast te halen. Het streepje was echter zo miniem dat we er nog niet vanuit durfden te gaan dat ik zwanger was.
Op maandag 28 juli 2014 daarentegen probeerde mama drie testjes uit en deze tekenden alle drie positief! Waw! Dan toch? En weten dat net vandaag ons huisje onder water was gelopen door heftig stormweer. Gelukkig kwam oma helpen met poetsen, zodat mama ’s avonds al naar de dokter toe kon om bloed te laten prikken.
Op dinsdag 29 juli 2014 mocht ik telefonisch contact opnemen met de huisarts. Deze vertelde dat het een twijfelachtige zwangerschap betrof, omdat het HCG-gehalte slechts 30 was. Een HCG-gehalte van 30 is inderdaad wel laag, als je weet dat dit meer dan 10000 kan bedragen. Een lichte ontgoocheling, maar we lieten de hoop niet varen.
Op woensdag 30 juli 2014 liet mama terug bloed prikken en het zwangerschapshormoon was ondertussen gestegen tot 81. Oef!!!
En op donderdag 7 augustus 2014 was het HCG-gehalte al geklommen tot 1700.
WIJ ZIJN ZWANGER!!!
Lieve schatje, je bent zo welkom!
Knuf,
jouw mama

Geplaatst door Liesbeth Fack | Filed under Geen categorie
09 zaterdag aug 2014
Posted in Geen categorie
Dag iedereen,
Een kinderwens koester ik al jaren, maar deze blijkt werkelijkheid te mogen worden! Met plezier kondig ik aan dat Joeri en ik – als alles verder goed mag gaan – in april 2015 papa en mama worden. Hopelijk genieten jullie mee van de avonturen van onze schat, onze liefde.
Liesbeth